알림
뒤로
알림 설정
뒤로
더보기
게시물 알림
내 글 반응
내가 작성한 게시물이나 댓글에 다른 사람이 댓글이나 답글을 작성하면 알려줍니다.
공지사항
사이트에서 보내는 중요한 공지를 실시간으로 알려줍니다.
  • Alarm
    프로필 정보수정
  • 마이페이지 로그아웃
    로그인이 필요합니다.
  • TwistAmp RPA Kits
  • MIRA Kits
  • SHARP Kit
  • LAMP Kits
  • CRISPR/Cas
  • Milenia HybriDetect
  • PhyTip Columns
  • Biotage® PhyPrep
  • MAGic Bioprocessing
  • GENE
    • Real-Time qPCR & Isothermal Instruments
    • DNA/RNA Preps
    • RPA-PfAgo System
    • RCA Isothermal Amplification Kits
    • Enzymes
  • PROTEIN
    • Syringe Columns
    • Magnetic Beads for PP.
    • Protein Maker System 24/12/6
    • Protein-Probe Technology
    • QuickAllAssay Labelling Kits
  • CELL Etc.
    • BioAuxilium THUNDER™ TR-FRET Cell Signaling A
    • BioAuxilium THUNDER™ TR-FRET BIOMARKER ASSAY
    • BioAuxilium THUNDER™ TR-FRET cAMP ASSAY KITS
    • BioAuxilium THUNDER™ TR-FRET TOOLBOX REAGENTS
    • BioSignal2 EnLight OMEGA & EnLight EniLISA
    • BioSignal2 EnLight OMEGA Cytokine Detection K
    • QRET(mTR-FRET) Technologies
    • CRYO-GOLD/ROS/PRIME/DMSO-F
    • ROKEPIE-FD01
    • Cell Separation Columns
    • Simi BioCell
  • DETECTION KITS ...
    • Mycoplasma Detection Kits
    • VosCryo Exhaled Breath Condensate (EBC)
    • Host DNA Detection Kits
    • Insulin ELISA Kit
    • Plant Disease Tests
    • Labware : B.Tips etc.
    • Byonoy : Plate Reader etc
    • Flow-Robotics
    • oCelloScope Live-Cell
    • Multimode Microplate Reader
  • NEWS & COMPANY
    • NEWS
    • 회사 소개
    • 생각과 기도(기대하는 실천행동)
    • 과학과 철학과 종교
    • 도마복음
    • 역사(미래를 열기위해)를 알자 !
    • 유물과 유적을 통해 보는 역사
    • 우리의 정치 : 평화가 답이다 !
이앤씨바이오
  • TwistAmp RPA Kits
  • MIRA Kits
  • SHARP Kit
  • LAMP Kits
  • CRISPR/Cas
  • Milenia HybriDetect
  • PhyTip Columns
  • Biotage® PhyPrep
  • MAGic Bioprocessing
  • GENE
  • PROTEIN
  • CELL Etc.
  • DETECTION KITS ...
  • NEWS & COMPANY
이앤씨바이오 이앤씨바이오 이앤씨바이오
이미지 맵이미지 맵이미지 맵이미지 맵이미지 맵이미지 맵이미지 맵
로그인 위젯 문구
장바구니0
로그인
회원가입
MENU
TwistAmp RPA Kits
MIRA Kits
SHARP Kit
LAMP Kits
CRISPR/Cas
Milenia HybriDetect
PhyTip Columns
Biotage® PhyPrep
MAGic Bioprocessing
GENE
  • Real-Time qPCR & Isothermal Instruments
  • DNA/RNA Preps
  • RPA-PfAgo System
  • RCA Isothermal Amplification Kits
  • Enzymes
PROTEIN
  • Syringe Columns
  • Magnetic Beads for PP.
  • Protein Maker System 24/12/6
  • Protein-Probe Technology
  • QuickAllAssay Labelling Kits
CELL Etc.
  • BioAuxilium THUNDER™ TR-FRET Cell Signaling A
  • BioAuxilium THUNDER™ TR-FRET BIOMARKER ASSAY
  • BioAuxilium THUNDER™ TR-FRET cAMP ASSAY KITS
  • BioAuxilium THUNDER™ TR-FRET TOOLBOX REAGENTS
  • BioSignal2 EnLight OMEGA & EnLight EniLISA
  • BioSignal2 EnLight OMEGA Cytokine Detection K
  • QRET(mTR-FRET) Technologies
  • CRYO-GOLD/ROS/PRIME/DMSO-F
  • ROKEPIE-FD01
  • Cell Separation Columns
  • Simi BioCell
DETECTION KITS ...
  • Mycoplasma Detection Kits
  • VosCryo Exhaled Breath Condensate (EBC)
  • Host DNA Detection Kits
  • Insulin ELISA Kit
  • Plant Disease Tests
  • Labware : B.Tips etc.
  • Byonoy : Plate Reader etc
  • Flow-Robotics
  • oCelloScope Live-Cell
  • Multimode Microplate Reader
NEWS & COMPANY
  • NEWS
  • 회사 소개
  • 생각과 기도(기대하는 실천행동)
  • 과학과 철학과 종교
  • 도마복음
  • 역사(미래를 열기위해)를 알자 !
  • 유물과 유적을 통해 보는 역사
  • 우리의 정치 : 평화가 답이다 !
  • TwistAmp RPA Kits
  • MIRA Kits
  • SHARP Kit
  • LAMP Kits
  • CRISPR/Cas
  • Milenia HybriDetect
  • PhyTip Columns
  • Biotage® PhyPrep
  • MAGic Bioprocessing
  • GENE
    • Real-Time qPCR & Isothermal Instruments
    • DNA/RNA Preps
    • RPA-PfAgo System
    • RCA Isothermal Amplification Kits
    • Enzymes
  • PROTEIN
    • Syringe Columns
    • Magnetic Beads for PP.
    • Protein Maker System 24/12/6
    • Protein-Probe Technology
    • QuickAllAssay Labelling Kits
  • CELL Etc.
    • BioAuxilium THUNDER™ TR-FRET Cell Signaling A
    • BioAuxilium THUNDER™ TR-FRET BIOMARKER ASSAY
    • BioAuxilium THUNDER™ TR-FRET cAMP ASSAY KITS
    • BioAuxilium THUNDER™ TR-FRET TOOLBOX REAGENTS
    • BioSignal2 EnLight OMEGA & EnLight EniLISA
    • BioSignal2 EnLight OMEGA Cytokine Detection K
    • QRET(mTR-FRET) Technologies
    • CRYO-GOLD/ROS/PRIME/DMSO-F
    • ROKEPIE-FD01
    • Cell Separation Columns
    • Simi BioCell
  • DETECTION KITS ...
    • Mycoplasma Detection Kits
    • VosCryo Exhaled Breath Condensate (EBC)
    • Host DNA Detection Kits
    • Insulin ELISA Kit
    • Plant Disease Tests
    • Labware : B.Tips etc.
    • Byonoy : Plate Reader etc
    • Flow-Robotics
    • oCelloScope Live-Cell
    • Multimode Microplate Reader
  • NEWS & COMPANY
    • NEWS
    • 회사 소개
    • 생각과 기도(기대하는 실천행동)
    • 과학과 철학과 종교
    • 도마복음
    • 역사(미래를 열기위해)를 알자 !
    • 유물과 유적을 통해 보는 역사
    • 우리의 정치 : 평화가 답이다 !
site search
MENU
이앤씨바이오 이앤씨바이오 이앤씨바이오
로그인 위젯 문구
장바구니0
TwistAmp RPA Kits MIRA Kits SHARP Kit
LAMP Kits CRISPR/Cas Milenia HybriDetect
PhyTip Columns Biotage® PhyPrep MAGic Bioprocessing
GENE PROTEIN CELL Etc.
DETECTION KITS ... NEWS & COMPANY
MAGic Beads & MAGic Accio Systems
MAGic Beads & MAGic Accio Systems
MAGic Beads & MAGic Accio Systems

단백질 기반 연구

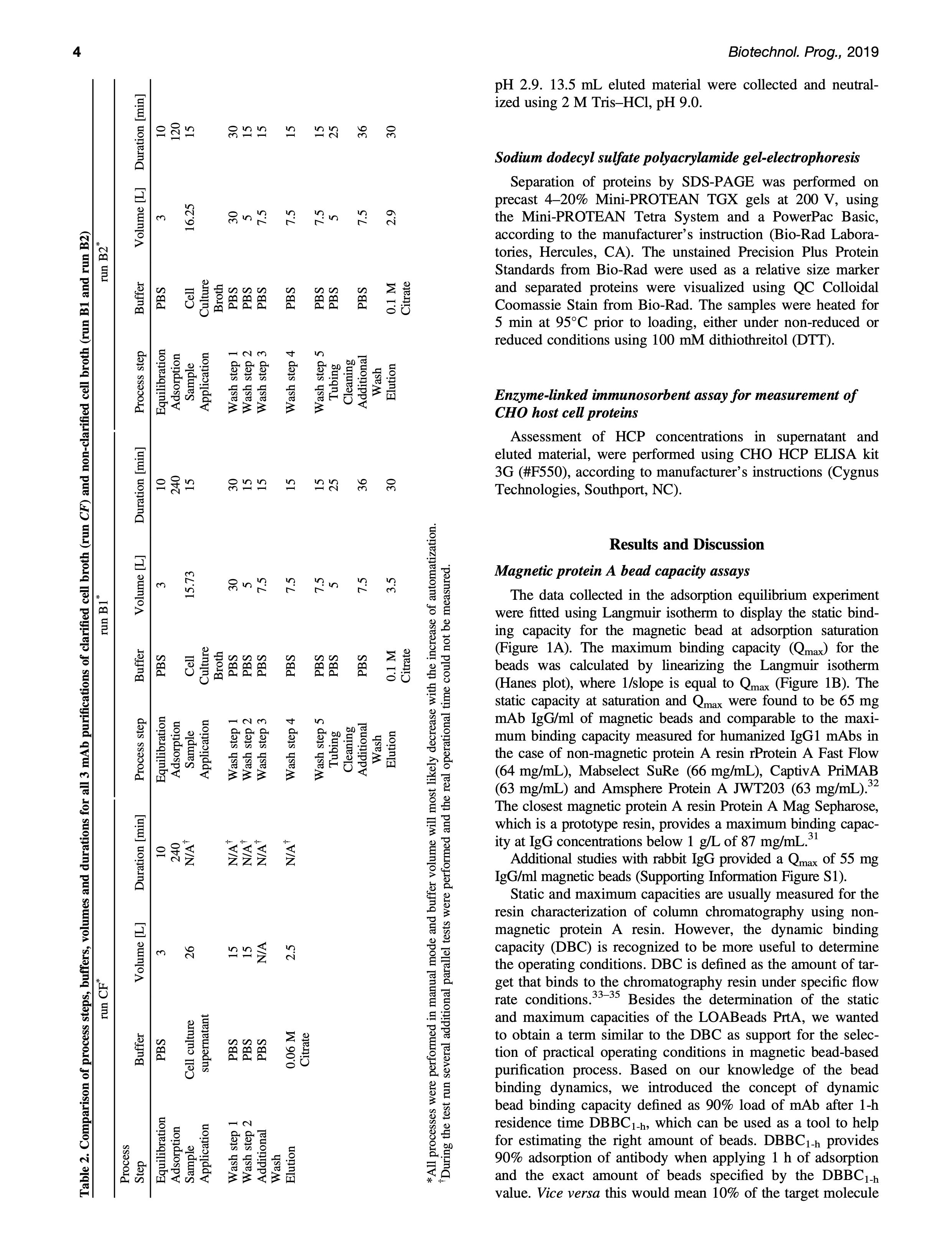
Pilot-scale process for magnetic bead purication of antibodies directly from non-clari ed CHO cell culture

MAGic Beads & MAGic Accio Systems
2026-02-21
조회수 41
863bc7113ff57.jpeg2aa4ee0878d31.jpeg83a43713eb73e.jpeg4e4f22573e252.jpeg
3cb5b928e30af.jpeg0020e35ce70c9.jpegdebbf1df01f87.jpega8eda7dc1795a.jpeg
05f5675d4ecde.jpeg5bb40433cef88.jpeg

  • Pilot-scale-process-for-magnetic-bead (1).pdf

    514KB
Products : MAGic™ Accio LAB & PILOT Side-by-Side Economic Process Model for the Comparison and Evaluation of Magnetic Bead-Based Processes and Legacy Process for the Manufacturing of Monoclonal Antibodies
목록 글쓰기
  • 이용약관
  • 개인정보처리방침

이앤씨바이오(2NCBIO, Inc) 

대표 :  박성준      

사업자등록번호: 166-04-00313    

통신판매업신고증 : 제 2018-대전서구-0340호

주소 : 대전광역시 서구 정림동 55, 상가동 1층 108호(정림동, 우성아파트)

TEL : 070-4187-1487, 010-7290-1487    FAX : 042-718-7476    E-mail : biotools@icloud.com, biotools@2ncbio.co.kr

Copyright ⓒ 2026 이앤씨바이오 All rights reserved.
SNS 바로가기
안드로이드 앱 설치

Android app on

GOOGLE PLAY

Download on the

APP STORE